21.03.2025
Уфимские стоматологи удалили ребенку с редкой аномалией лишний зуб
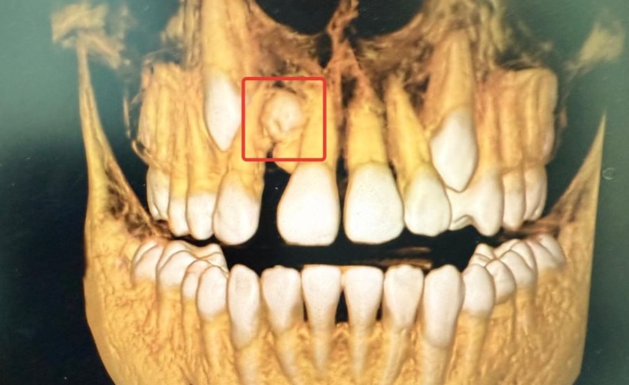
В стоматологической поликлинике № 7 врачи удалили 13-летнему мальчику лишний зуб. Как сообщили в региональном Минздраве, эта аномалия является редкой, по статистике встречается лишь в одном из тысячи случаев.
Ребенок обратился с жалобами на эстетические проблемы. На КТ обнаружили лишний зуб на верхней челюсти, расположенный между центральным и боковым резцом.
«Сверхкомплектные зубы — это аномалия, при которой у человека появляется больше зубов, чем обычно. Она может проявляться как у детей с молочными, так и у взрослых с постоянными зубами», - говорят в министерстве.
Врачи удалили лишний зуб и провели лечение.
Теги:











Эксперты обсудили проблемы модернизации сферы ЖКХ в Башкирии
Ученый объяснил частое появление лосей в Уфе
«Никто не заcтрахован от беды»: уфимский предприниматель бесплатно парит и моет людей с инвалидностью
«Не боятся только зомби и наркоманы»: боец из Башкирии рассказал о зоне СВО, сослуживцах и жизни под землей











Комментарии (0)