07.03.2024
В Уфе врачи вытащили из желудка годовалого малыша саморез
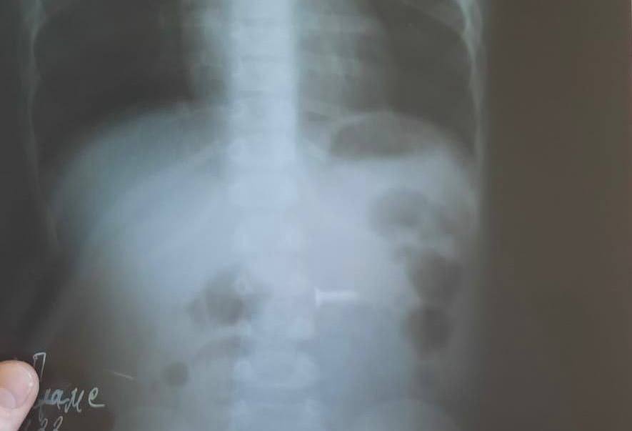
Уфимские врачи извлекли из желудка маленького ребенка саморез. Об этом в своем телеграм-канале рассказал министр здравоохранения Башкирии Айрат Рахматуллин.По информации источника, годовалый ребенок проглотил винт в то время, пока родители отвлеклись. После того, как взрослые заметили, что ребенку плохо, они сразу вызвали скорую и ребенка госпитализировали. Рентген показал наличие у ребенка в брюшной полости инородного предмета.
Врачи с помощью гастороскопии вытащили из органа малыша саморез. В настоящее время жизни и здоровью ребенка ничего не угрожает. Своевременное оказание медицинской помощи предотвратило осложнения. Теги:
















Эксперты обсудили проблемы модернизации сферы ЖКХ в Башкирии
Ученый объяснил частое появление лосей в Уфе
«Никто не заcтрахован от беды»: уфимский предприниматель бесплатно парит и моет людей с инвалидностью
«Не боятся только зомби и наркоманы»: боец из Башкирии рассказал о зоне СВО, сослуживцах и жизни под землей










Комментарии (0)